当前位置: 医院首页 >> 医疗动态 >> 正文

医疗动态

5123导航五湖四医学影像科技术分享——单髋关节磁共振检查的优势

时间:2021-12-31 20:30   浏览数:次   来源:  

髋关节疾病可通过核磁共振检查,判断关节周围软组织情况,如软骨滑膜、盂唇,常规采用双髋关节核磁共振,但其清晰度及准确度略差,仅能提供大概的病情情况,尤其是对软骨及盂唇损伤的清晰度与准确度远远达不到诊断要求,而单侧髋关节核磁,可针对病变一侧进行检查,提高分辨率与准确度,从而为临床病情提供更多信息。

髋臼唇为纤维软骨结构,附着于髋臼边缘关节软骨之上,起加深髋臼窝维持髋关节稳定的作用。退变及股骨髋臼撞击综合征可引起髋关节前上臼唇撕裂,导致髋关节活动受限以及慢性髋关节疼痛,影响髋关节的生物应力作用,诱发关节软骨退变及早发性骨关节病。正常臼唇在MR所有序列中均表现为低信号,实质部信号均匀,基底部为纤维软骨向透明软骨的移行区,在MRI上表现为略高信号或液性高信号。臼唇撕裂部位多见于前方,尤其是前上方,较少累及后方臼唇。撕裂常累及臼唇基底部纤维软骨与透明软骨连接区,也可发生实质部。

单髋关节一般采用小扫描视野,可以获得更好的信噪比及更高的空间分辨率图像,以及特殊扫描方位(斜冠状位、斜轴位),不但可以显示股骨头颈部病变情况,而且有利于髋臼及臼唇的显示。

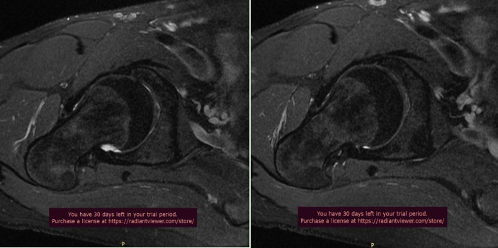
下图为我科室扫描单髋关节图

undefined

undefined

单髋关节扫描对于诊断盂唇损伤和髋关节撞击综合征有非常重要的价值。临床医师如果考虑上述两种疾病,建议开单时选择单髋关节磁共振检查(高分辨率单髋关节扫描),扫描前请电话预约,窗口工作人员会告知您检查注意事项。

上一条:5123导航五湖四核医学科知识分享——功能显像之全身骨显像

下一条:5123导航五湖四放疗科病例分享