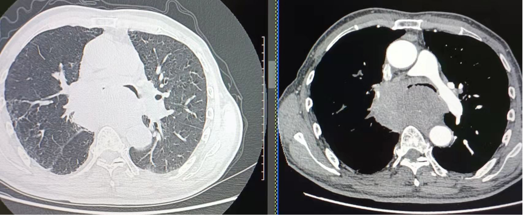
胸部CT示(11-22):气管、左主支气管受压明显变窄,右主支气管几乎完全闭塞。






回顾患者的就医经历,可谓坎坷曲折、异常艰辛:
早在2021年4月患者即有反复咳嗽症状,胸部CT示:气管隆突后方软组织肿物影,未予重视。2021年9月患者咳嗽症状加剧,并出现明显气短,于某三甲医院行气管镜检查示:右主支气管腔内肿物,完全堵塞管腔、与隆突分界不清,出血明显,未取材。20天前患者咳嗽、呼吸困难明显加重,辗转我市多家医院就医咨询,后经业内专业人士推荐,慕名就诊于我院呼吸与危重症医学二科。入科时急性病容,表情痛苦,呈端坐位,口唇紫绀,呼吸急促,呼吸频率:28次/分,心率121次/分,当晚几次差点憋死过去。
为了从死神手中夺回患者生命,呼吸与危重症医学二科立即行动,开始了一场生死速递,管床医师迅速完善各项术前检查,上级医师王飞紧锣密鼓地联系手术麻醉科、呼吸内镜室,做好了充分的术前准备,陈璞莹主任组织多学科及业务骨干术前讨论,安抚并稳定了患者情绪,并与家属深入细致沟通,详细交代病情与呼吸介入诊疗方案。患者入科第二天(2021年12月1日)陈璞莹主任就带领呼吸与危重症二科介入团队成功为患者进行了全麻后硬镜下气道肿物削瘤术。于是出现了本文开篇的那感人一幕。

大气道削瘤术后,患者病情暂时缓解,治疗远未结束,各项后续治疗措施有条不紊地持续推进。在重症医学科里,医务科组织为患者进行了多学科会诊讨论后,陈璞莹主任为患者制定了下一步诊疗方案:左总有肿物长入,右总几乎完全阻塞,需要行双气道支架置入术。但支架需要根据患者气道定制,为了做到严丝合缝,影像科章强主任帮忙测量气道直径大小。
12月6日,定制的支架已到位,呼吸与危重症医学二科介入团队陈璞莹主任、王飞副主任医师再次为患者成功实施全麻后硬镜下行左、右主支气管双支架置入,术后第二天患者成功拔除气管插管,转出重症医学科,转回呼吸与危重症医学二科进行后续治疗。

气道支架置入术后患者气短症状完全缓解。12月8日病理结果回报:小细胞肺癌。给予患者化疗。经一周期化疗后患者症状进一步好转,可以下床自由活动,生活质量有了极大提高,脸上也露出了久违的笑容。陈璞莹主任每天早上查房,患者都握着她的手久久不愿松开,激动之情溢于言表。患者家属也对我们的工作表示极大的认可,由衷地对我科医护人员竖起了大拇指,送来了3面锦旗表达钦佩与感激。



呼吸与危重症医学二科对复杂气道内狭窄的病人能快速地诊治,精准地施救,并取得良好的疗效,确实难能可贵!危重病例得以快速成功救治是陈璞莹主任带领呼吸介入团队迎难而上、敢打敢拼、勇于担当的结果!同时再次感谢手术麻醉科团队及呼吸内镜室、影像科、重症医学科的大力配合!


近年来,5123导航五湖四医疗业务进入全面、快速发展的上升期,呼吸与危重症医学二科在医院领导的大力支持及相关职能科室的鼎力协助下,在气管镜下介入诊治领域实现了重点突破,呼吸介入诊治水平处于内蒙区自治区领先地位,也得到了国内多位呼吸学界巨擘的认可。科室秉持着对技术精益求精的态度、始终将患者的安危放到首位的信念,真正做到了为患者解除疾苦,提高生活质量,延长生命。在今后的工作中,呼吸与危重症医学二科将继续开拓进取,为百姓健康保驾护航!
联系电话:
陈璞莹15047844786
王飞 15047844786
办公室 0471-5281053