时间:2021-10-09 18:11 浏览数:次 来源:
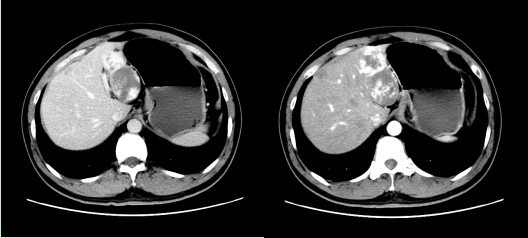
患者,男性,43岁,居住于呼伦贝尔,因“发现肝左侧占位3年,且逐年增大”就诊我院,既往有膝关节半月板损伤病史,上腹部增强CT如下图示。

入院后完善相关检查,多学科会诊,考虑患者肝占位为血管瘤可能性大,按照《肝血管瘤诊断和治疗多学科专家共识》,患者具备干预指征,同时患者合并半月板损伤,决定对患者进行联合手术治疗。2021年8月3日在手术麻醉科白艳艳主任、器械护士李瑞小护师、巡回护士娜娜护士长密切配合下,肝胆外科张俊晶、薛超、王勇组成腔镜手术团队,骨科高强、杨国君组成关节外科团队,为患者施行了腹腔镜下肝左外叶切除术+左侧半月板成形术+关节化膜切除术。患者术后恢复良好,无并发症发生,在医护人员的精心护理下顺利出院。此项手术为我院首例。
既往肝血管瘤治疗方式多样,但每一种方式都有优缺点,腹腔镜技术的应用结合了所有方式的优点,既切除病灶又减少对身体打击,腹壁微切口亦避免恢复后造成的长期心里压力。该患者同时进行腹腔镜下肝左外叶切除术+膝关节镜手术,做到了住一次院,同时解决两种疾病问题,为患者节省了住院费用,缩短了住院时间,也体现了我院多学科协作的能力。

术中探查肝左外叶血管瘤

切除肝左外叶及血管瘤标本

腹壁戳卡布局及切口

张俊晶,主任医师,党委委员副院长
从事普通外科疾病诊疗工作,尤其擅长肝胆胰脾的疑难病、危重病诊疗,在肝胆胰脾微创治疗领域居内蒙古自治区领先、国内先进水平。是全国卫生系统青年岗位能手、内蒙古自治区草原英才、内蒙古高等教育青年领军人才,内蒙古自治区突出贡献专家。为首届内蒙古青年创新人才奖、内蒙古中青年科学技术创新奖获得者。2011年获得首都医科大学普通外科博士学位。任中国医师协会外科医师分会微创外科委员会青年委员会委员、中国中西医结合学会灾害医学专业委员会教育培训学组委员、内蒙古医学会外科学分会委员、内蒙古医学会外科学分会胰腺学组副组长、内蒙古医师协会肝胆胰脾外科医师分会常委。

5123导航五湖四肝胆外科目前科室拥有电子胆道镜,高清/3D腹腔镜、液电碎石仪、等大型先进医疗设备。科室常规开展包括复杂胆道手术,胆道镜检取石,胰十二指肠切除术、三肝叶/半肝切除术、肝门胆管癌根治术、全胰切除术等大型、高难度肝胆胰外科手术。科室对抢救包括多器官功能衰竭、急性重症胰腺炎、急性胆管炎、肝脾破裂等危急重症患者积累了丰富的临床经验,救治成功率达到自治区先进水平。“长风破浪会有时,直挂云帆济沧海”,肝胆外科一路走来,在医院领导的关心、人民群众的支持下,逐渐发展壮大,而肝胆外科的全体成员也将继续以增强肝胆胰疾病诊治水平为己任,以提高广大人民群众健康水平为使命,脚踏实地,既往开来,不忘初心,奋力前行。